癌症防不胜防?台湾一名21岁男子从不吸烟,而且经常做运动,近日突然感到胸痛求医,结果发现肺部变白,确诊第4期癌症,肿瘤更有20cm大。有家庭医学科医生表示,患癌后身体会出现变化,有13种症状较高危,很可能是癌症征兆。
21岁胸痛求医 揭肺变白患癌症4期
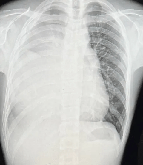
该名21岁男子日前在Dcard讨论区发文,讲述自己发现患癌的过程及抗癌经历。他表示自己在今年7月8日突然感到胸痛,于是到诊所求医,照X光后发现肺部白了一片。医生以为他患上肺炎,于是转介至医院的胸腔内科,并进行电脑断层和磁力共振扫描检查,结果发现其纵膈腔有一个15厘米巨大肿瘤,证实是「生殖细胞肿瘤第4期」。
查看图片看事主患癌抗癌历程↓↓↓







确诊患癌后,事主随即接受化疗,当时其肿瘤已增大至20cm。他坦言化疗过程相当痛苦:「化疗后超想吐、恶心、食欲不振、做恶梦,真的好痛苦,每天每天心情都好差。」
突然胸痛等于患肺癌?根据香港卫生署资料,肺癌患者可能会出现以下症状:
常运动不吸烟 疑因1事致只剩半边肺
经过3次化疗后,虽然事主体内的肿瘤没有变大或缩小,但却在坏死过程中纤维化。当时医生告诉他有一边肺部已经失去功能,这辈子只剩下半个肺部可以运作,令他大感崩溃。
「听完的当下我马上就哭了,我心想我才21岁耶,我不知道以后的日子会是怎样,会不会有一天复发我就死了,一切的未知不安在我脑海里回荡。」
事主后来补充指,自己平日热爱运动,经常会行山、踩单车等,而且从不吸烟,不过其家人却大多都有吸烟习惯,令他怀疑因为平日经常吸入二手烟,最终导致患癌。
经常吸烟或吸入二手烟,都会增加患肺癌风险。根据香港卫生署资料,肺癌5大常见成因如下:
自测癌症10大症状 及早发现身体异常变化
如何及早发现癌症?营养功能医学专家刘博仁医生曾指出,当发现身体出现以下10大异常变化,均有机会与癌症相关,若有怀疑,应尽早求医:
癌症先兆:
摸到身体不明肿块
口腔溃疡久未愈合
久咳超过2星期或声音沙哑
身体出现异常出血
排尿或排便习惯改变
吞咽困难或消化不良加剧
痣或疣的颜色、大小、形状变化
原因不明的疼痛
髋关节疼痛确诊为乳癌
腰痛确诊为恶性肾脏癌
体重不明原因减轻
原因不明的发烧


